Qu’est-ce que la chirurgie orthognatique ?
- La « chirurgie orthognathique », que l’on assimile à la chirurgie des mâchoires, demande quasiment systématiquement une prise en charge orthodontique avant et après la chirurgie.
- Le rôle de votre orthodontiste en phase pré-chirurgicale sera d’aligner les arcades dentaires.
- Cet alignement permettra au chirurgien maxillo-facial de repositionner les mâchoires dans une position idéale, et donc les arcades dentaires qu’elles supportent par la même occasion.
Le réalignement des dents en phase pré-chirurgicale
- Durant la phase pré-chirurgicale l’orthodontiste va, à l’aide d’un appareil dentaire (bagues, appareil en lingual ou aligneurs), réaligner vos dents. Une augmentation provisoire du décalage dentaire peut être constatée, cela est normal.
- Le chirurgien maxillo-facial pourra ensuite réaliser la chirurgie afin que les arcades dentaires du patient « s’emboîtent » correctement.
Au cabinet ARENAS DENTISTES, nos spécialistes en orthodontie, les Docteurs ECALLE et RAZEL communiquent pendant toute la durée de votre traitement avec votre chirurgien maxillo-facial. Une synergie est indispensable, on parle de protocole orthodontico-chirurgical.
Quand le patient a-t-il besoin d’une chirurgie orthognatique ?
Elle est indiquée pour des patients adultes, lorsque la croissance des mâchoires est terminée, et qui présentent un déséquilibre trop important pour que ce dernier soit compensable au niveau dentaire.
Faut-il au préalable consulter un chirurgien maxillo-facial ou un orthodontiste ?
La chirurgie est faite par un chirurgien maxillo-facial et le suivi par l’orthodontiste. Ils travaillent en collaboration afin d’élaborer le plan de traitement idéal afin d’obtenir les résultats souhaités pour le patient : au niveau esthétique, squelettique et dentaire. La première consultation peut donc être réalisée chez l’un ou l’autre de ces deux spécialistes.
Quels sont les signes associés à un décalage des mâchoires ?
Voici quelques signes qui peuvent alerter le patient et toucher les trois dimensions de l’espace :
- Une difficulté à respirer par le nez, un palais très profond, une arcade supérieure plus petite en largeur que la mâchoire inférieure.
- Un menton effacé, très en arrière (rétrognathisme mandibulaire), ou au contraire une mâchoire du bas très en avant (prognathisme mandibulaire).
- L’absence de contact entre les dents (béance) et la difficulté de joindre les lèvres au repos.
La chirurgie maxillo-faciale est-elle remboursée ?
Une partie de la chirurgie sera prise en charge par la sécurité sociale et une partie peut également être prise en charge par la mutuelle. Notre équipe au cabinet Arenas Dentistes est là pour vous accompagner dans vos démarches.
A RETENIR
- La chirurgie orthognatique est un acte permettant de repositionner les mâchoires convenablement l’une par rapport à l’autre.
- Ce repositionnement lui permettra de retrouver une bonne occlusion dentaire, et d’obtenir un sourire esthétique et fonctionnel
- L’impact de la chirurgie sur le profil notamment est parfois spectaculaire, mais il va toujours dans le sens de l’amélioration et de l’harmonisation du visage.
Exemples de cas avant / après de patients traités avec chirurgie orthognathique
Cas 1 : Traitement orthodontico-chirurgical dans contexte d’apnée du sommeil
Diagnostic : birétrognathisme avec SAHOS (syndrome d’apnée et hypopnée obstructive du sommeil) associé, asymétrie faciale avec menton dévié à gauche, hypodivergent, supraclusion et classe II full unilatérale, bascule du plan d’occlusion, diastème interdentaire maxillaire à fermer.
Plan de traitement : chirurgie d’avancée bimaxillaire avec traitement en technique linguale : à noter l’évolution du volume disponible pour faciliter la ventilation du patient, et prévenir le risque de SAHOS.
Temps de traitement : 1,5 ans de traitement
- Profil avant intervention
- Profil après intervention
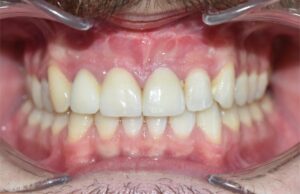
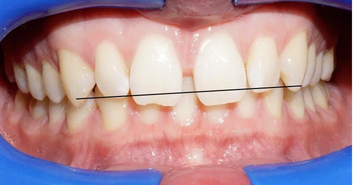
- Face dent avant
- Face dent après
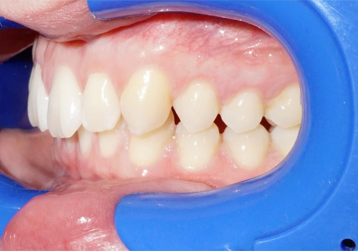
- Côté dent avant
- Côté dent après

Voies aériennes
Cas 2 : Orthodontie linguale et chirurgie bi-maxillaire
Motif de consultation : dents du haut qui recouvrent trop les dents du bas, axes des dents du haut vers l’arrière, faible exposition des dents au sourire, dans un contexte de mâchoires très en arrière.
Diagnostic : cl II.2, supraclusion totale, articulé inversé sur 14, dysharmonie de formes d’arcade dans un contexte de birétrognathisme et d’hypodivergence marquée.
Plan de traitement : orthodontie linguale : préparation orthodontique puis chirurgie d’avancée bi maxillaire.
Résultat : occlusion esthétique, fonctionnelle et stable, avec un profil harmonisé.
Temps de traitement : 20 mois
- Profil avant
- Profil après
- Face dent avant
- Face dent après
- Côté dent avant
- Côté dent après
Pour prendre rendez-vous avec le Docteur ECALLE ou le Docteur RAZEL, orthodontistes à Nice Ouest, à côté de Saint Laurent du Var, au sein du cabinet Arenas Dentistes, contactez-nous au 04 92 145 145.












